Studio dentistico Bazzoni
il punto di riferimento completo
per tutte le tue esigenze dentali
Lo studio è presente a Vago di Lavagno dal Settembre 1989. Nell’attuale sede, dal dicembre 1999. Nel corso degli anni è stato creato un team di medici, specializzati nelle diverse branche dell’odontoiatria, per potere offrire la completezza delle cure di cui può avere bisogno il paziente.
Anni di esperienza
studio dentistico Bazzoni
La nostra mission
Riteniamo che il rapporto di fiducia medico/paziente sia indispensabile per ottimizzare le cure stesse. nostro obiettivo è porre in atto terapie ben eseguite, fornire al paziente l’istruzione e gli strumenti idonei a far durare nel tempo i lavori e le cure a cui si è sottoposto.
aree di intervento
Ci prendiamo cura
del tuo sorriso
Chi siamo
il team
Nel corso degli anni, attorno alla figura della titolare, la dottoressa Graziella Bazzoni, si è formato un valido team composto da assistenti, segretarie e collaboratori specializzati nelle diverse branche dell’odontoiatria. All’interno del team vi è un costante confronto, una condivisione degli obiettivi e una profonda passione per la professione.
Richiami e visite
di controllo
Come si esegue
la prima visita
Accoglienza e gestione della programmazione del paziente
Saremo lieti di accoglierti in studio e assisterti nella pianificazione del tuo 1° appuntamento.

Fase conoscitiva e dialogo aperto
Con cui far emergere eventuali criticità, richieste o aspettative del paziente.

Piano di cura su misura per le esigenze del paziente
Verrà elaborato in conclusione un piano di cura personalizzato.
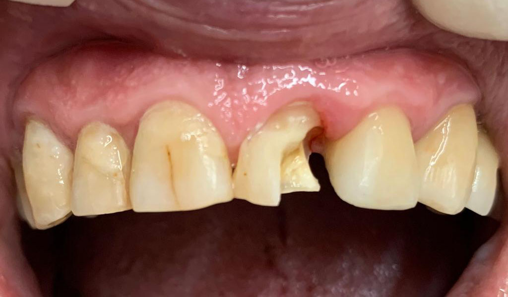
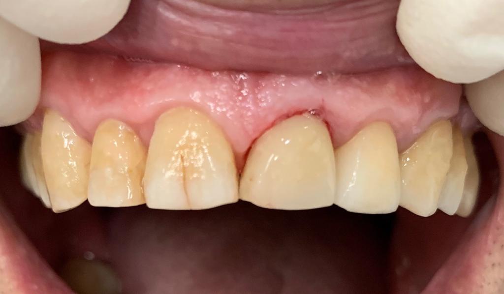
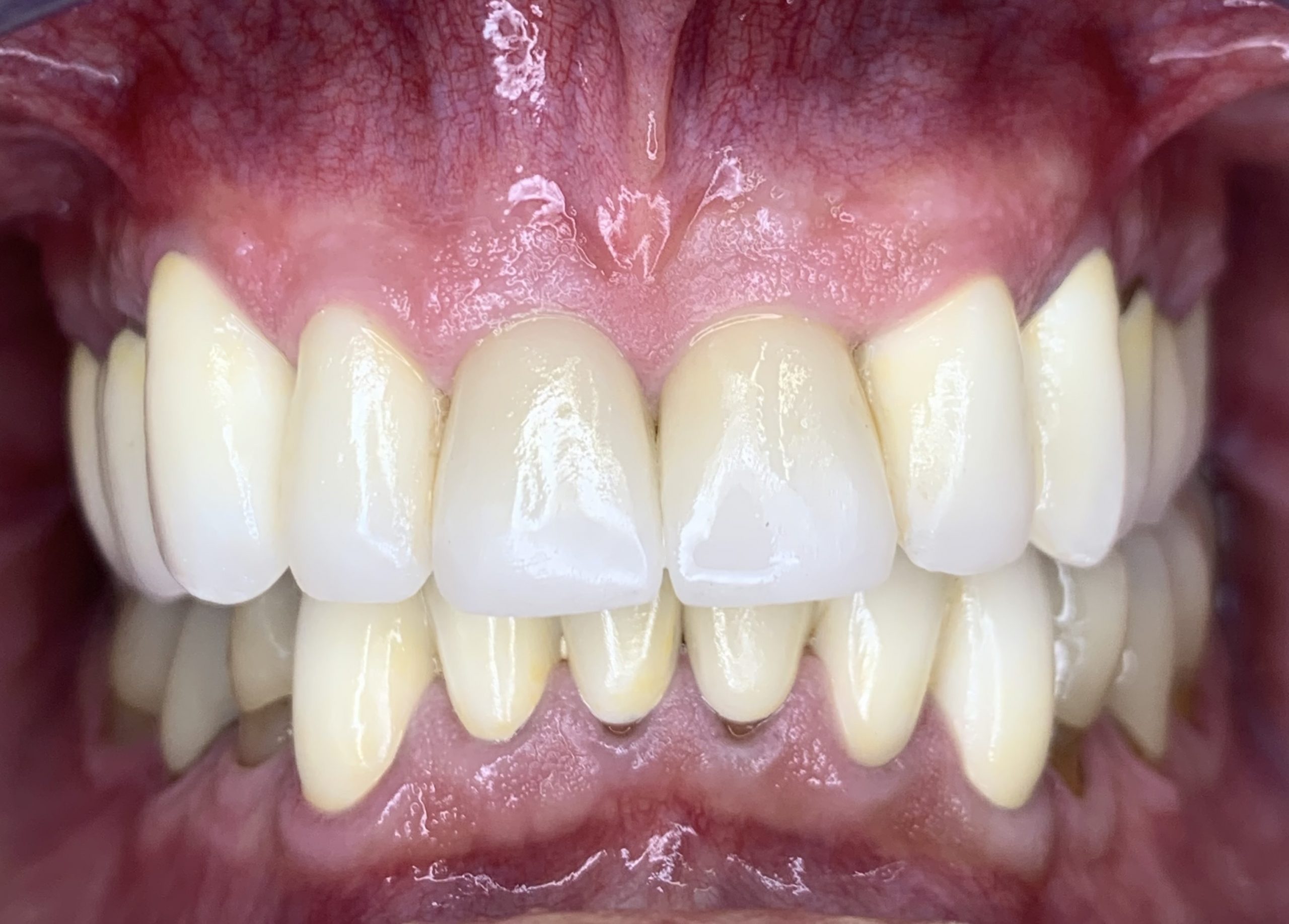
I nostri casi clinici
Le immagini parlano

















