Conservativa
Come suggerisce il nome, l’odontoiatria conservativa tende a conservare l’elemento dentale naturale.
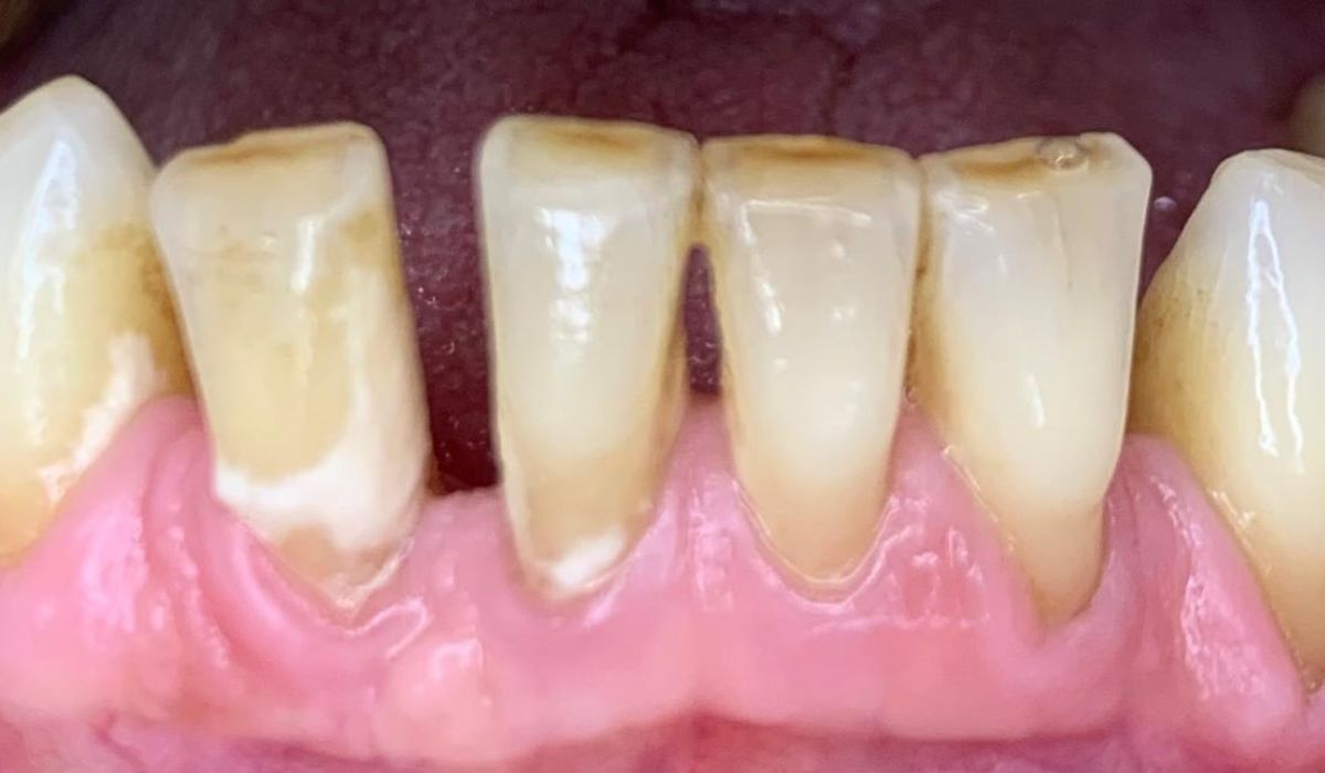
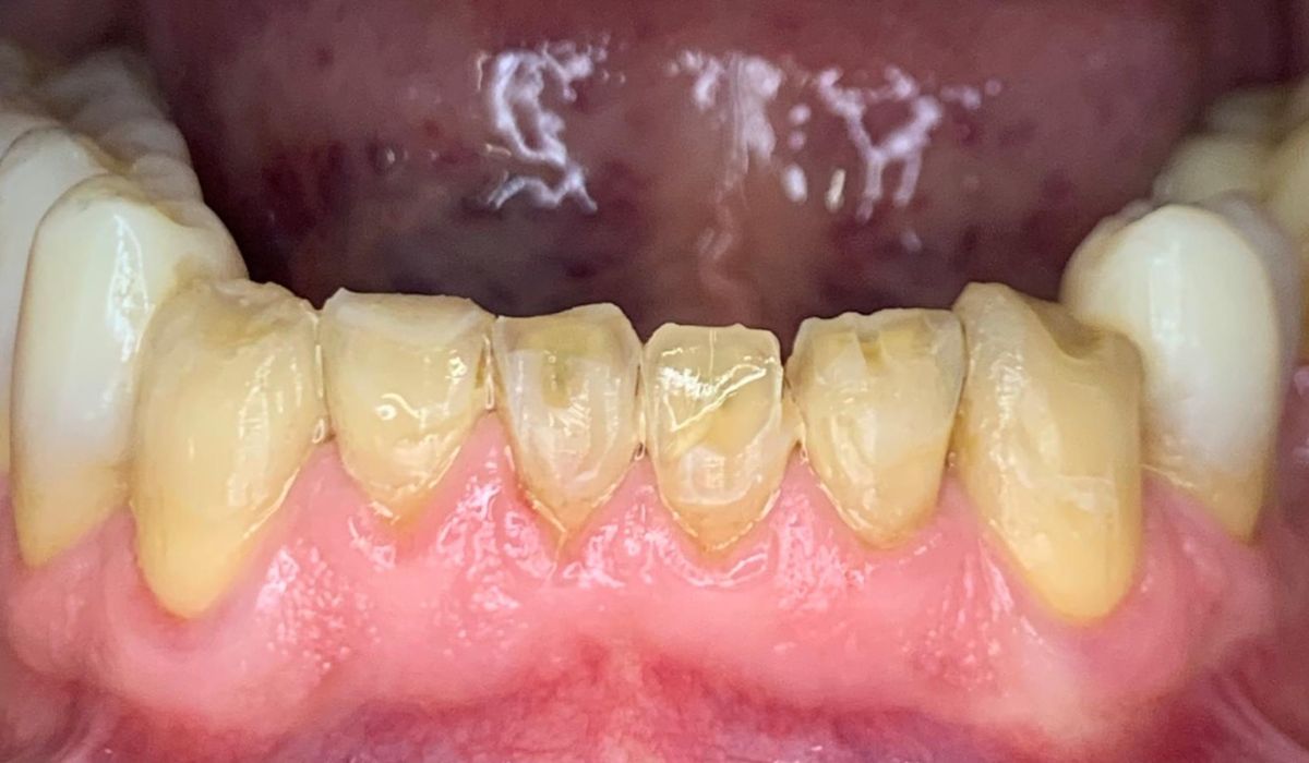
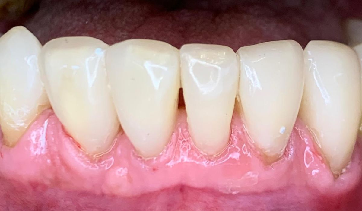
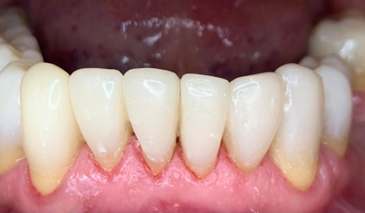
Nel caso di carie e/o fratture che non coinvolgono la polpa dentale viene rimosso il tessuto cariato (smalto e/o dentina) e, previo trattamento specifico del tessuto sano residuo, viene ricostruito l’elemento dentale ripristinandone la forma anatomica, i rapporti con i denti vicini, l’estetica e la funzione. Vengono utilizzati materiali con caratteristiche di resistenza, biocompatibilità ed estetica tra i più affidabili e con provato feedback. Nessun restauro è migliore del dente sano ma cerchiamo sempre di avvicinarci all’”invisibilità del nostro intervento conservativo.
Nel caso di lesioni cariose e/o fratture che coinvolgono la polpa dentale il ripristino anatomico e funzionale del dente deve passare necessariamente attraverso la cura canalare o devitalizzazione. La finalità della devitalizzazione è la conservazione nel cavo orale del dente naturale.
Prevenzione dentale a Verona
La prevenzione è la chiave per mantenere denti sani e forti nel tempo. Evitare l’insorgere di problemi complessi significa agire in anticipo con controlli regolari, igiene accurata e interventi conservativi quando necessario. Presso lo Studio Dentistico Bazzoni, la prevenzione dentale a Verona e provincia è un pilastro fondamentale dell’approccio clinico: ogni paziente viene seguito con attenzione per preservare la salute del cavo orale in modo efficace e duraturo.







