Endodonzia
L’odontoiatria endodontica si occupa della cura dell’endodonto ovvero del complesso sistema canalare che ospita/ospitava la polpa del dente.
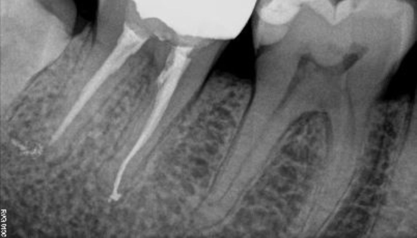
Quando la polpa di un dente vitale viene raggiunta dai batteri che vi penetrano attraverso lesioni cariose o in seguito a fratture traumatiche che la coinvolgono, si va incontro alla cosiddetta pulpite (meglio conosciuta come “mal di denti”). Con la terapia endodontica si provvede alla rimozione della polpa infetta che verrà poi sostituita da appositi cementi chiamati a sigillare tridimensionalmente i canali.
Talvolta la terapia endodontica deve essere applicata su denti già devitalizzati al fine di risolvere infezioni (dette lesioni apicali) che insorgono per pregresse cure canalari non congrue. In questo caso si parla di ritrattamento canalare, esso implica la rimozione del materiale precedentemente introdotto, una nuova alesatura, pulizia, sagomatura, chiusura dei canali e verifica radiografica dell’avvenuta guarigione a distanza di 6/8 mesi.
La terapia endodontica è una metodica complessa che richiede un adeguato isolamento del campo operatorio con diga di gomma, l’uso di strumenti manuali e rotanti, sistemi di irrigazione e detersione, sistemi di verifica del diametro e lunghezza dei canali, sistemi di chiusura ermetica e tridimensionale del sistema canalare, preparazione ed esperienza degli operatori, talvolta molteplici ore sulla poltrona.
Quando la polpa di un dente vitale viene raggiunta dai batteri che vi penetrano attraverso lesioni cariose o in seguito a fratture traumatiche che la coinvolgono, si va incontro alla cosiddetta pulpite (meglio conosciuta come “mal di denti”). Con la terapia endodontica si provvede alla rimozione della polpa infetta che verrà poi sostituita da appositi cementi chiamati a sigillare tridimensionalmente i canali.
Talvolta la terapia endodontica deve essere applicata su denti già devitalizzati al fine di risolvere infezioni (dette lesioni apicali) che insorgono per pregresse cure canalari non congrue. In questo caso si parla di ritrattamento canalare, esso implica la rimozione del materiale precedentemente introdotto, una nuova alesatura, pulizia, sagomatura, chiusura dei canali e verifica radiografica dell’avvenuta guarigione a distanza di 6/8 mesi.
La terapia endodontica è una metodica complessa che richiede un adeguato isolamento del campo operatorio con diga di gomma, l’uso di strumenti manuali e rotanti, sistemi di irrigazione e detersione, sistemi di verifica del diametro e lunghezza dei canali, sistemi di chiusura ermetica e tridimensionale del sistema canalare, preparazione ed esperienza degli operatori, talvolta molteplici ore sulla poltrona.

