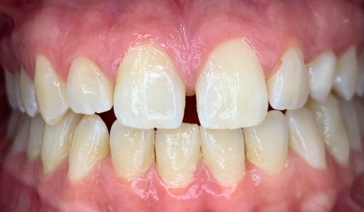
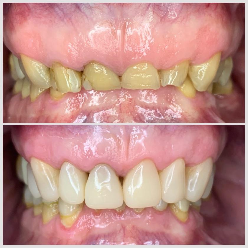
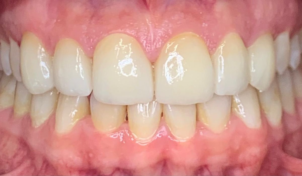
Faccette Dentali
Le faccette dentali sono un sistema minimamente invasivo e innovativo per correggere l’estetica, la forma, il colore e la posizione dei denti.
Possono essere applicate su denti con discromie dello smalto, su denti abrasi a causa di parafunzioni (es.: bruxismo), per correggere diastemi e/o leggere mal posizioni, per modificare il colore dei denti.
I materiali utilizzati sono:
- Ceramica (Disilicato di litio): risultato estetico molto alto, durata nel tempo, precisione.
- Composito: risultato estetico soddisfacente, durata inferiore alla ceramica, minore costo.
Faccette Dentali a Verona – Estetica Dentale Avanzata
Cerchi un trattamento di faccette dentali a Verona per migliorare il tuo sorriso in modo sicuro e duraturo? Presso il nostro studio offriamo soluzioni personalizzate con materiali di alta qualità, come la ceramica e il composito, per correggere difetti estetici e funzionali dei denti. Interventi minimamente invasivi, risultati naturali e professionisti esperti nel settore dell’odontoiatria estetica a Verona. Prenota una consulenza per scoprire se le faccette sono la scelta giusta per te.


