Igiene orale

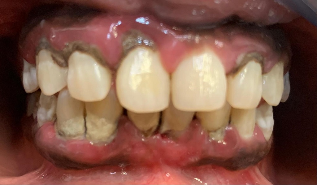
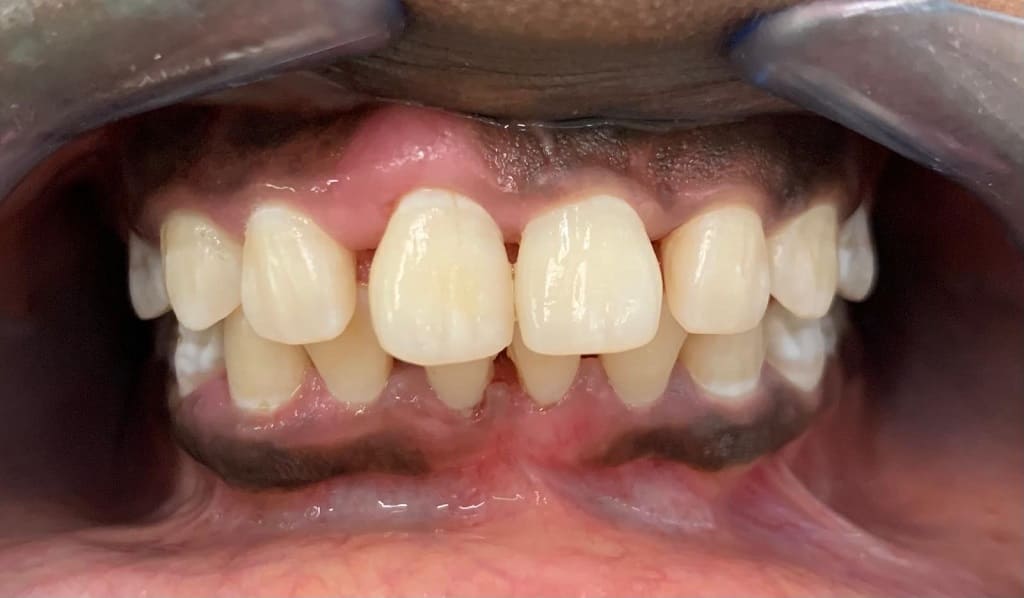
  1. Igiene orale professionale e motivazione: con l’iop è possibile rimuovere i depositi di tartaro sopra e sotto gengivali riducendo la carica batterica stanziale a contatto con i tessuti di sostegno degli elementi dentali. Vengono usati strumenti ultrasonici e strumenti manuali la cui conformazione permette di raggiungere tutte le superfici dentali. Durante l’iop al dentista è dato modo di verificare lo stato di salute gengivale, parodontale e individuare eventuali processi cariosi in atto. È parte integrante dell’iop la motivazione e l’istruzione ad una corretta igiene orale domiciliare a cui dovrà quotidianamente provvedere il paziente.
  2. Igiene orale domiciliare: su una corretta iod si fonda la salute del cavo orale e la sua conservazione. È preciso obiettivo e interesse dl dentista istruire il paziente ad adottare un efficace pulizia del cavo orale, usando quotidianamente tutti gli strumenti idonei, al fine di conservare in buono stato i denti naturali e gli eventuali impianti, manufatti protesici e otturazioni.
  3. Visite di controllo periodiche: è nella disponibilità e facoltà dei pazienti aderire ad un programma gratuito di controlli periodici semestrali al fine di verifica e conservazione della salute del cavo orale. Qualora aderissero al programma riceveranno, ogni sei mesi, un messaggio che ricorda loro di fissare un appuntamento di controllo gratuito.
Scrivici su WhatsApp
Invia messaggio