Ortodonzia

L’Ortodonzia (dal greco “ortos” dritto e “odontos” dente) è quella parte dell’odontoiatria che si occupa dello studio e correzione  di:

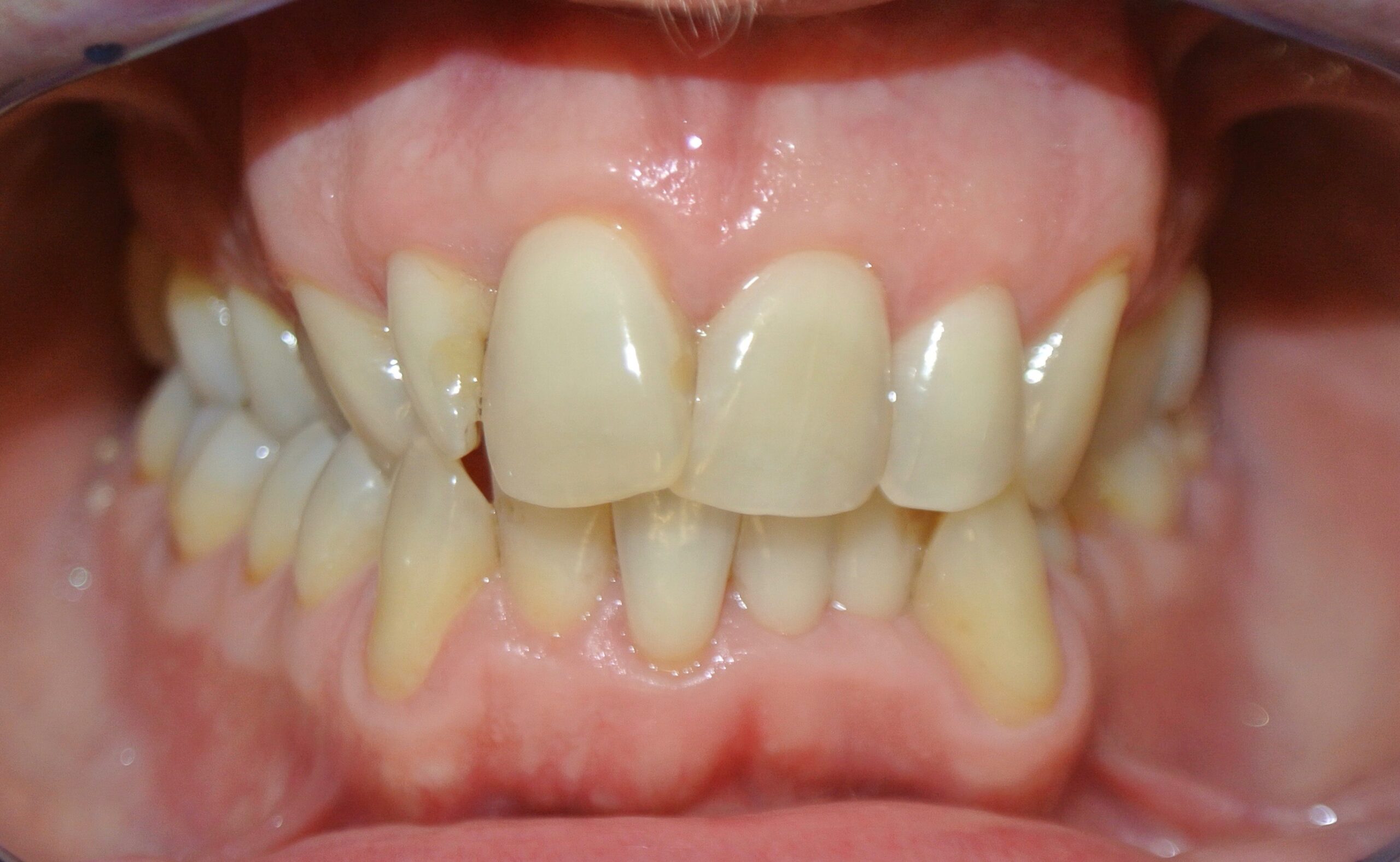
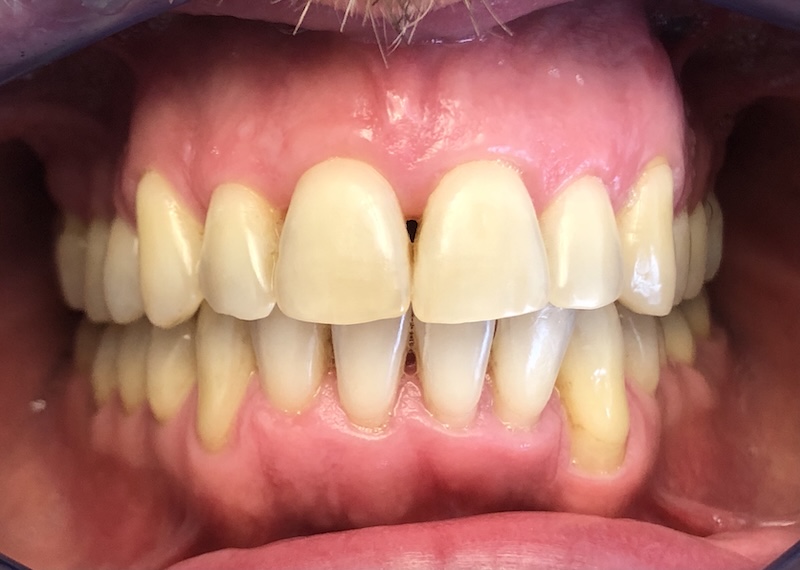
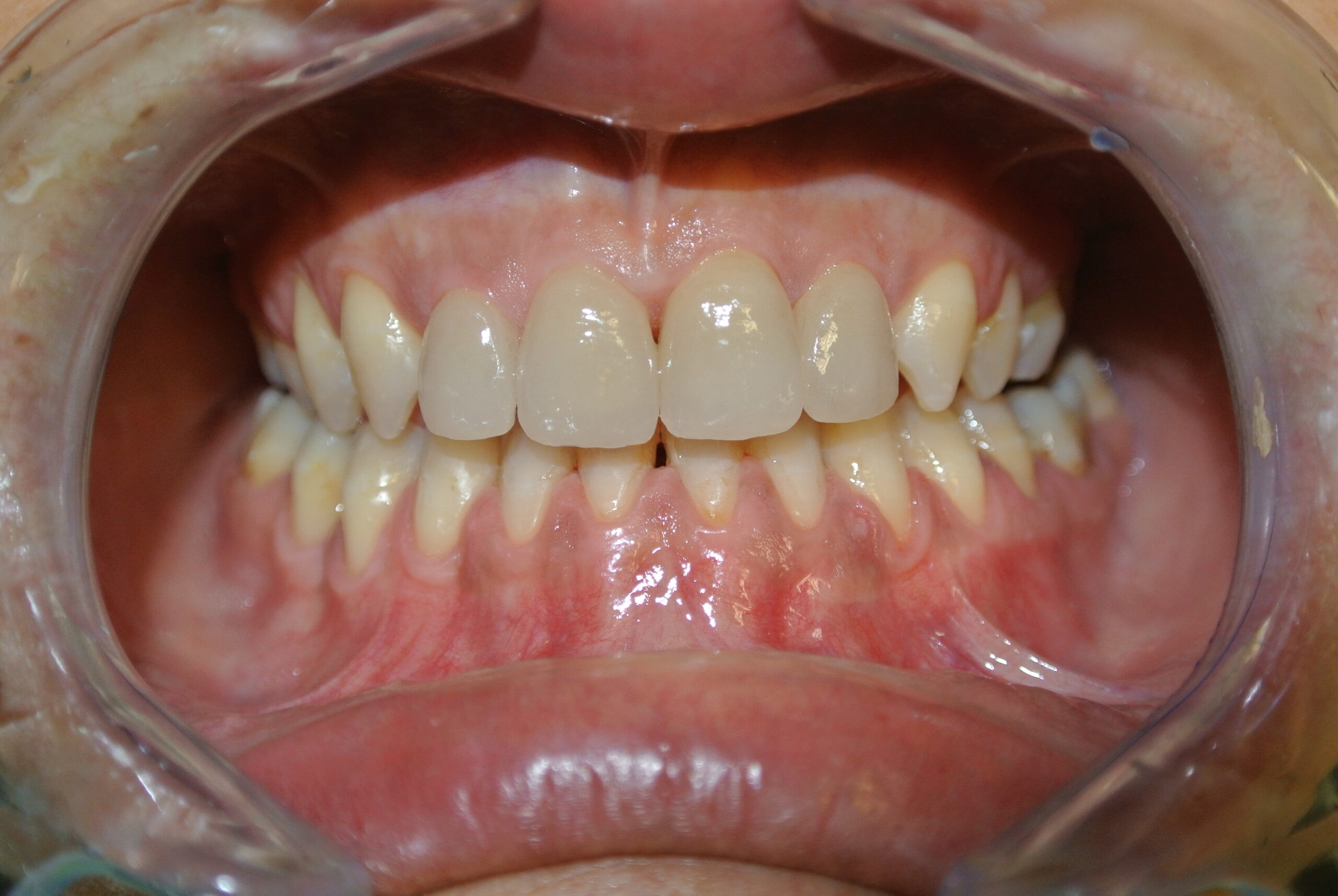
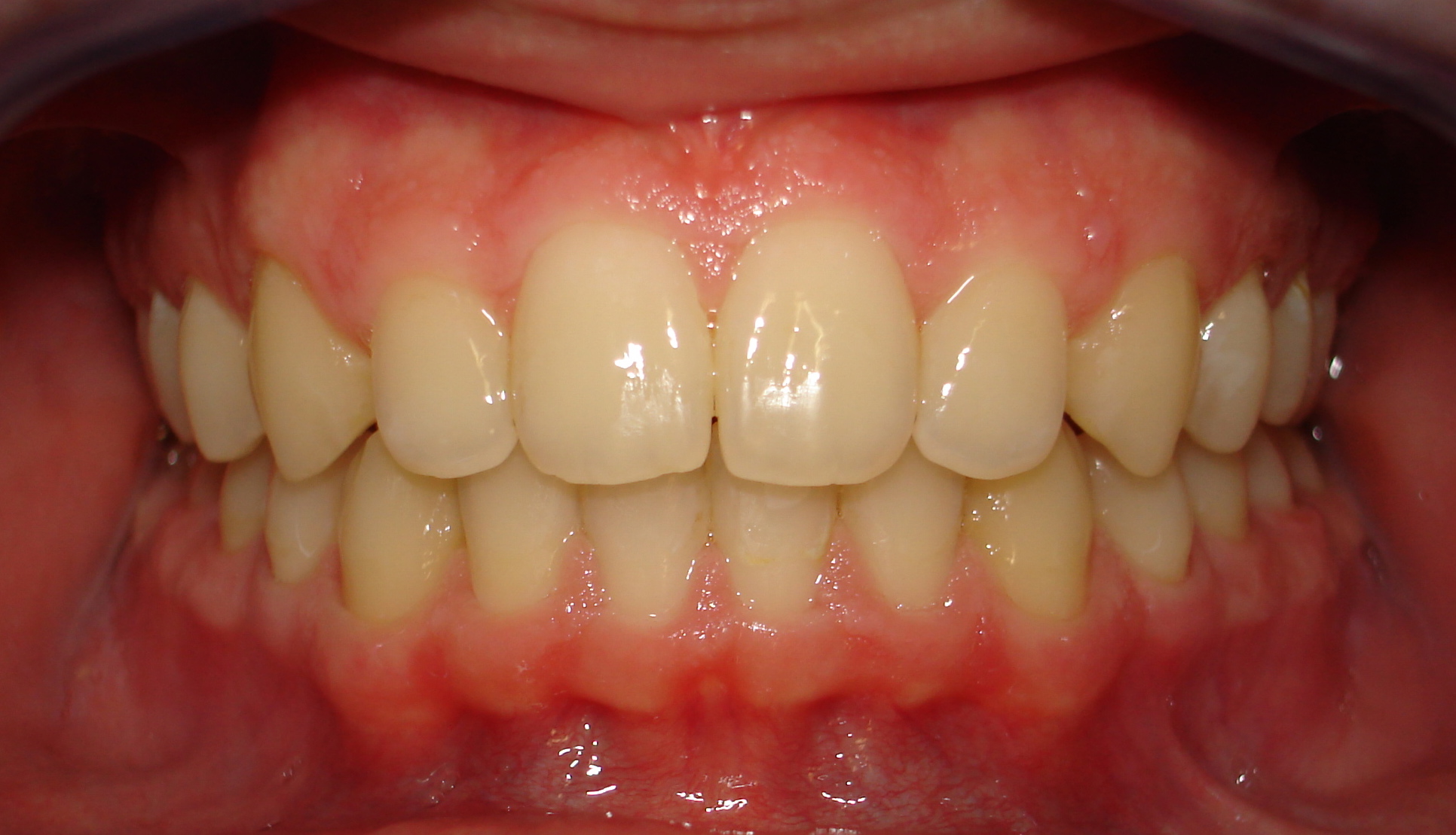
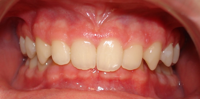
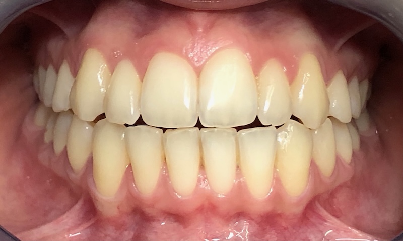
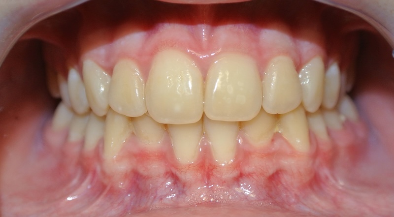
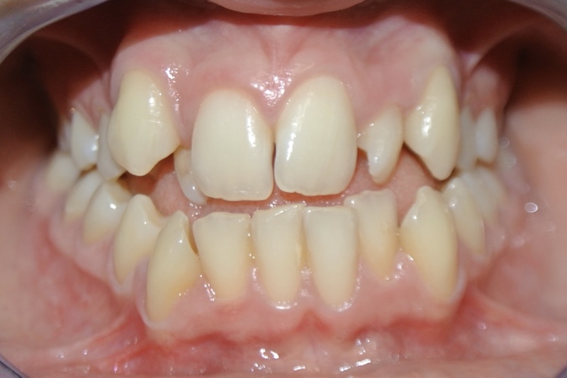
  • posizioni anomale di uno o più elementi dentali (mal posizioni dentarie come affollamenti o diastemi)
  • non corretta relazione tra arcate mascellari e mandibolari
    • Malocclusione di prima classe
    • Mal occlusione di seconda classe o retrognatismo
    • Mal occlusione di terza classe o prognatismo
    • Morso profondo
    • Morso aperto
    • Morso inverso
    • Morso crociato monolaterale/bilaterale

 

Ortodonzia Verona a provincia

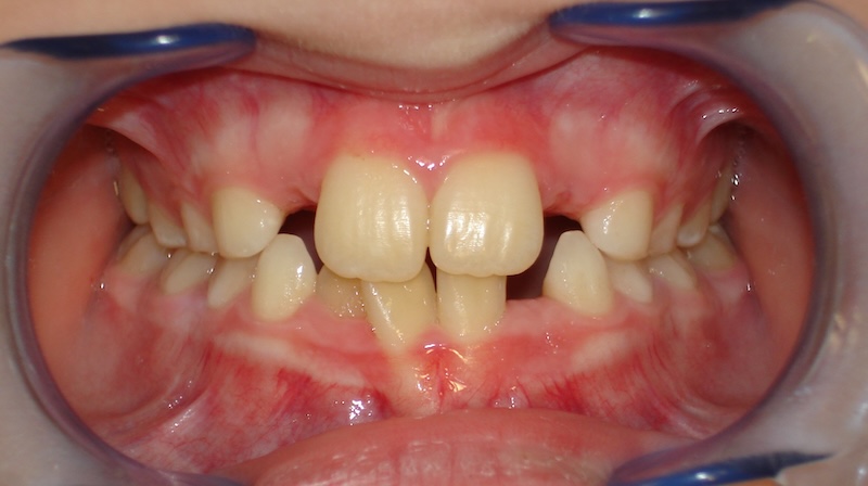
I trattamenti di ortodonzia nei bambini, chiamata anche ortodonzia intercettiva, hanno lo scopo di intercettare quelle problematiche scheletriche-dentali o di funzione, che se non trattate andranno a influenzare la crescita del piccolo paziente. Per questo motivo la visita ortodontica diventa importante già nei primi anni di vita (4 o 5 anni), questo permette di riconoscere il problema per tempo, monitorare correttamente il paziente e  intervenire in modo efficace al momento di crescita opportuno.

Non tutti i problemi ortodontici possono essere trattati precocemente, anche se in alcuni casi l’individuazione immediata può essere d’aiuto.

Morso incrociato e incisivi sporgenti sono due condizioni che richiedono un trattamento precoce. Il primo problema può provocare una crescita irregolare delle mascelle, mentre gli incisivi che sporgono possono fratturarsi a causa di infortuni o incidenti, come ad esempio una caduta.

Le mal occlusioni dentarie possono essere ereditarie cioè tramandate geneticamente oppure derivanti da comportamenti scorretti o per compresenza di altre patologie.

  • Bruxismo
  • Non corrette abitudini infantili (uso prolungato di ciuccio e/o biberon,succhiare il pollice/altre dita)
  • Interventi dentali incongrui (otturazioni, protesi)
  • Perdita di dimensione verticale (per abrasione o protesi incongrue)
  • Neoplasie
  • Fratture in età infantile
  • Artrite reumatoide

L’ortodonzia è una terapia che intercetta e previene una vasta gamma di conseguenze nel lungo periodo, anche sistemiche,  che possono derivare dalle mal occlusioni:

  • difficoltà masticatorie, di deglutizione e respiratorie (sinusiti, asma, tosse cronica, bronchite cronica)
  • disallineamento/asimmetria del viso
  • disordini cranio-mandibolari (acufeni, ronzii, vertigini, equilibrio)
  • tensioni ai muscoli di collo e cranio (mal di schiena e problemi posturali)

Il trattamento ortodontico può essere prodromico e  valido alleato per ottimizzare  trattamenti protesici altrimenti di difficile realizzazione a causa di mal occlusioni e/o mal posizioni dentarie.

Gli apparecchi ortodontici possono essere fissi (apparecchio ortodontico fisso in metallo o in ceramica, espansore palatale) o mobili (placche mobili, allineatori trasparenti).

Dopo la visita, la raccolta delle informazioni e dei dati necessari, la dottoressa specialista in ortodonzia provvede ad un accurato studio del caso e presenta un piano di cura atto a risolvere i problemi evidenziati al paziente anche in base alle aspettative del paziente stesso

Questa prima fase, che viene definita “studio del caso”, non rappresenta per il paziente un impegno a proseguire nelle cure proposte, ma è fondamentale per una corretta diagnosi e una terapia personalizzata sul paziente.

Per tutti questi motivi, i trattamenti ortodontici non sono riservati solo ai bambini e/o adolescenti ma sono un grande vantaggio anche per le persone in età adulta.

Scrivici su WhatsApp
Invia messaggio